
Фильтр
Новость с пометкой ⚡️
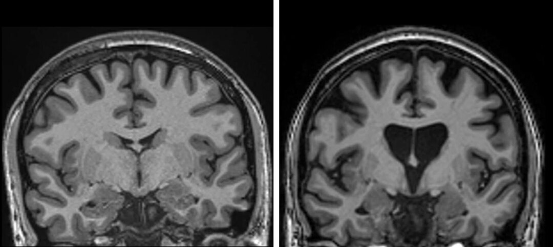
Ученые придумали первое лекарство против болезни Хантингтона, и им оказались… ГМО-вирусы. Это одна из самых страшных болезней мозга: что-то вроде Альцгеймера и Паркинсона, только в одном флаконе. Болезнь генетическая, то есть люди рождаются с ней, и всю их жизнь в мозге копятся дефектные белки. На фотографиях видно, как мозг постепенно умирает: отверстие в центре увеличивается в десятки раз, а число извилин буквально уменьшается. Примерно к 60 годам больной теряет память, не может двигаться, говорить и даже глотать. Никаких лекарств от этой болезни нет, так что пациенты неизбежно умирали. Но недавно ученые опробовали новый препарат — безвредные ГМО-вирусы. Их вводили прямо в мозг через специальную трубку. Этим вирусам полностью перепрошили гены так, чтобы они могли делать всего одну вещь — производить лекарство прямо в мозге пациента, то есть в эпицентре болезни. Вирусы проживут там десятки лет, и все это время будут бороться с болезнью Хантингтона изнутри. То есть лекарство вкололи вс
Показать еще
Это светящиеся белки!
Точнее, почти что радуга из светящихся белков. Наш редактор сам вырастил их в одной из лабораторий МГУ. Когда-то давно эти белки нашли у морских кораллов, которые еле-еле светятся в ультрафиолете. Кораллам они помогают защищаться от лишнего кислорода, потому что в больших количествах он превращается в яд. Но ученые украли эти белки у кораллов… и подсадили бактериям! И теперь бактерии красиво светятся, и ими даже можно рисовать картины. Есть даже целые выставки, где, например, повторяют картины Ван Гога. Но зачем вообще это нужно? Во-первых, бактерии прозрачные, а так их можно увидеть. А во-вторых, так можно красить их внутренности! Можно увидеть, где внутри бактерий ДНК и есть ли там нужные нам гены. Можно покрасить токсины, а можно нужные нам лекарства. Так сразу видно, что в бактерии есть, а чего нет. А еще можно следить за жизнью бактерий. Снова напоминает тамагочи. Если светится ярко, значит, у бактерии все хорошо и она служит на благо науки. А если потухла, значит, нужна новая бак
Показать еще
Знакомьтесь, это Курино.
Так мы его назвали. И нет, это не просто куриное яйцо. У пятнышка на желтке бьется сердце! Это яйцо мы купили на ферме и сами достали оттуда маленький эмбрион. Ведь что такое яйцо? Это огромная яйцеклетка мамы-курицы. В магазинах почти все яйца не оплодотворенные, то есть эта яйцеклетка никогда не встречалась со сперматозоидом, и цыпленок из таких яиц не вырастет. Но на ферме можно найти любые яйца. Примерно за два дня на желтке вырос вот такой куриный эмбрион: у него появился полноценный мозг, глаза и даже забилось сердце. Чтобы питаться и расти дальше, он окутал желток кровеносными сосудами и понемногу выкачивает из него еду. Это — самое начало его пути. Впереди еще примерно 18 дней развития, и этот маленький зародыш превратится в полноценного цыпленка.
Показать еще
Сколько нейронов в мозге человека?
Мы тут все умные и в очках, потому что у нас под капотом реально мощный мозг, состоящий из 86 миллиардов нейронов. Но как ученые посчитали, сколько их? На самом деле, их никто не считал. Ученые просто прикинули это. Они взяли мозг какого-то бедняги и сделали из него бульон. Буквально: растворили разные отделы мозга, зачерпнули из каждого по несколько миллилитров и пересчитали в них ядра клеток... а затем экстраполировали их число на весь мозговой суп. И получили 86 миллиардов ядер, то есть нейронов. То есть все нейроны никто так и не сосчитал! И даже больше: в этом нет никакого смысла. У каждого из нас свое число нейронов, и меняется оно чуть ли не на 10%. На ум это никак не влияет — это все равно что разный рост или разный вес.
Показать еще
⚡️ Ученые превратили клетки кожи в яйцеклетки!
Причем не просто превратили — они создали технологию, которая в теории сможет победить бесплодие. Вот, как это работает. Чтобы в девушке появилась яйцеклетка, в клетках ее яичника должен произойти мейоз — это особое деление, после которого из 46 хромосом остается только 23. У других клеток нашего тела такого деления нет, поэтому мы без проблем их выращиваем: клетки кишечника, мозга, да хоть стволовые. А вот вырастить яйцеклетки еще ни разу не получалось. Что это значит? Если у вас откажет печень, новую легко можно вырастить из ваших же клеток. А вот если девушка бесплодна, врачам нечего ей предложить. Но месяц назад все изменилось. В новом исследовании ученые взяли яйцеклетки здоровых женщин-доноров и выкинули из них ядра со всеми генами. Получалась как бы оболочка яйцеклетки. В нее подсаживали ядро из клетки кожи той девушки, которая не могла забеременеть. Получилась яйцеклетка сразу от двух девушек: оболочка от одной, а гены от другой. И это сработало! Яйцеклетку оплодотворили, и эмб
Показать еще
- Класс
Знакомьтесь, это олене-овцы
или по-научному кактусовые олени. И это не отдельный вид оленей, а аномалия, которая у них встречается. В норме рога оленей — это не просто кусок кости. Весной и летом они тёплые и мягкие: внутри есть сосуды и нервы, а снаружи все покрыто мягкой бархатной кожей. Ближе к осени у самцов подскакивает тестостерон, и рога твердеют, а бархат сбрасывается. Но если тестостерона мало, бархат продолжается копиться несколько лет, и получается милая и мягкая бархатная шапочка. Это и произошло с оленями на фото. Для нас это выглядит как баг природы, но тут есть кое-что интересное. Сейчас наш редактор готовит выпуск про рак, который выйдет в начале следующего года. И оказалось, что рак есть не только у людей. Это болезнь практически всех животных, в том числе и оленей. Но почему-то именно в их рогах рак находили всего пару раз за всю историю. Там есть кожа, кровь, нервы — все, где мог бы возникнуть рак. Но он не возникал! И вот, что удивило нас больше всего. В этом исследовании экстракт из кожи на р
Показать еще
У Юпитера появились родинки!
И мы даже засняли это на видео. В 1994 году в Юпитер врезалась комета Шумейкеров–Леви 9. Потом в 2009 году это повторилось. Удары прожгли атмосферу Юпитера и оставили в ней что-то вроде сажи. Ее мы и видим на фотографиях. Два удара за 30 лет… А теперь представьте, что следующий будет по Земле? Скорее всего, кометы такого размера раскрошат нашу планеты в пыль. Но можете не переживать, ведь почти все кометы, которые пролетают мимо нас, врезаются в Юпитер. Из-за этого Юпитер называют пылесосом Солнечной системы, ведь он настолько огромный, что его гравитация затягивает все пролетающие мимо астероиды. Мы видим их каждые пару лет. Так что посмотрите на небо, найдите Юпитер и поблагодарите его за то, что человечество живо. Он это заслужил. P. S. Юпитер хорошо видно с Земли без телескопов и биноклей. Скачайте на телефон любое приложение с картой звездного неба, например, Stellarium, и оно само покажет, где на небе Юпитер. Это проще, чем кажется.
Показать еще
Бессмертная женщина
Сколько людей на этой фотографии? От одного видно руку, а от второго почку. В этой розовой воде сидят микроскопические клетки почки. Наш редактор работал с ними в одной из лабораторий МГУ. Сами клетки прозрачные и сидят на стенках, а розовое — это специальный индикатор. Он говорит, что почку покормили. Когда станет желтым, значит, почка все съела, и пора бы ее пересадить. Напоминает тамагочи. Стоп. Откуда вообще взялась эта почка? Зачем мы выращиваем ее? Донором была девушка, но ее личность никто не знает, ведь этой почке уже больше 50 лет. Важно другое: когда врачи взяли образец ткани, они немного отредактировали гены всех клеток, чтобы они перестали стареть и стали бессмертными. Получились клетки HEK 293, то есть сделанные с 293 попытки. Что им дало бессмертие? Они не собираются в новые органы, а бесконечно делятся и расползаются в разные стороны. Клонов уже настолько много, что их растащили по лабораториям всего мира. Но если собрать их в одну кучу и взвесить, получится организм вес
Показать еще
- Класс
Астероид летит на Луну!
В начале этого года все научное сообщество заметило астероид 2024 YR4 размером с пассажирский самолет. Ученые думали, что он может влететь на Землю. И тут есть две новости. Хорошая: в нас он точно не попадет. Плохая: он может врезаться в Луну. Вероятность низкая, около 4%, но она есть. Если это произойдет, то вокруг Земли появится облако из обломков. Представьте огромное кольцо из камней, которое будет мешать всем нашим спутникам, телескопам и космическим станциям, а обломки еще несколько дней будут падать на Землю. NASA уже предложили план. Что, если просто взорвать астероид? Пока он далеко от нас, осколки разлетятся во все стороны и пролетят мимо Земли и Луны. И это звучит как спасение. В феврале телескоп Джеймс Уэбб сможет еще раз получше разглядеть астероид, а к 2028 году ученым нужно будет принять окончательное решение: разрушать его или нет.
Показать еще
- Класс
загрузка
Показать ещёНапишите, что Вы ищете, и мы постараемся это найти!
Левая колонка
О группе
Йоп, Ян! Тут ты найдешь факты, о которых мы не успеваем рассказать в выпусках, а также истории о самых разных вещах, которые нас окружают
По всем вопросам: hello@toples.show
Зарегистрировал канал в Роскомнадзоре. Номер заявления № 6805469853
Показать еще
Скрыть информацию

