
Фильтр
Как мы лечили подвижность коронки и воспаление десны, а в итоге пришли к полной трансформации улыбки
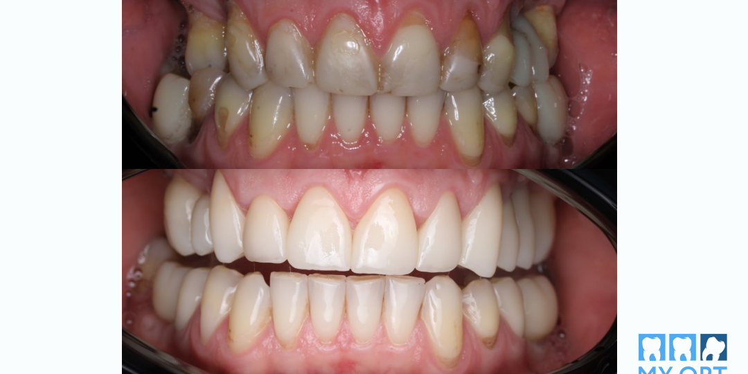
Проблемы с передними зубами всегда требуют точного и деликатного подхода. Здесь важна не только жевательная функция, но и эстетика, ведь малейшие изменения будут сразу заметны при разговоре и улыбке. В этом клиническом случае все началось с подвижности коронки, но в процессе лечения мы с пациенткой пришли к более комплексному решению, которое позволило не просто устранить основную проблему, но и значительно улучшить внешний вид улыбки. Пациентка 28 лет пришла ко мне, врачу-стоматологу, ортопеду, с жалобами на подвижность коронки на переднем зубе и воспаление десны в этой области. Помимо физического дискомфорта, у пациентки были переживания, связанные с эстетикой улыбки, ведь зона улыбки всегда требует особого внимания. Мы провели комплексную диагностику: выполнили сканирование верхнего и нижнего зубных рядов, КЛКТ черепа и цифровое 3D-моделирование. Диагностика показала, что зуб под коронкой сильно разрушен и не подлежит восстановлению. С учетом состояния зуба было принято решение удал
Показать еще
- Класс
Как мы исправили чужую ошибку с имплантатами Straumann. Сложный клинический случай.
Я — врач-стоматолог-ортопед, гнатолог, и в моей практике нередко бывают ситуации, когда пациент приходит на прием за решением затянувшейся проблемы после лечения в другой клинике. Исправлять последствия неудачного лечения — это всегда непростая задача. Нужно не только исправить допущенные ошибки, но и восстановить доверие пациента к стоматологическому лечению. В этом клиническом случае ситуация осложнялась тем, что пациент уже год находился в процессе лечения в другой клинике. Затяжной этап временного протезирования привел к усталости и разочарованию пациента в лечении. Моей задачей было не просто заменить временные конструкции на постоянные, а провести полноценную коррекцию и устранить имеющиеся дефекты. Пациент обратился ко мне летом прошлого года с жалобами на неудовлетворительную эстетику и неоконченное ортопедическое лечение в другой клинике, которое длилось больше года. Пациента не устраивали внешний вид и форма временных конструкций, которые были установлены на имплантаты Straum
Показать еще
- Класс
Как поставить брекеты без отказа от путешествий. Реальный случаи
А вы знали, что современное ортодонтическое лечение уже давно перестало быть чем-то неудобным и ограничивающим? Сегодня ортодонтическое лечение можно проходить без отрыва от привычного ритма жизни: путешествовать, работать удаленно и оставаться активным человеком. Я, врач-ортодонт, гнатолог, расскажу вам клинический случай пациентки, которая любит часто путешествовать и не ограничивать себя. Как проходило ортодонтическое лечение на брекетах и какого результата удалось добиться. Ко мне обратилась молодая женщина 28 лет, ведущая активный образ жизни. Пациентка работает удаленно, часто путешествует, любит новые впечатления и ценит свободу привычного образа жизни. Несмотря на занятость и постоянные переезды, она нашла время для ортодонтического лечения, чтобы выровнять зубы и улучшить эстетику улыбки. Пациентку беспокоили неровное положение зубов и эстетический дискомфорт при улыбке. Из-за этого пациентка старалась меньше улыбаться, даже в компании друзей. Чтобы оценить не только состояние
Показать еще
- Класс
Как мы спасли три сильно разрушенных зуба. Клинический случаи
В моей практике врача-стоматолога, ортопеда встречаются ситуации, когда зубы уже были неоднократно пролечены, но объем собственных твердых тканей был очень мал. В таких случаях важно не просто восстановить зубы, а обеспечить им долговременную функциональность и стабильность. Именно с этой просьбой и обратился ко мне наш сегодняшний пациент. Пациент обратился в нашу клинику с жалобами на значительное разрушение трех зубов в боковом отделе. Ранее эти зубы уже были восстановлены врачом-терапевтом. Пациента беспокоил дискомфорт при приеме пищи и эстетический дефект. При осмотре пациента и проведения диагностики КТ я выявил, что у зубов отсутствует часть твердых тканей, стенки частично сколоты, а опора под дальнейшие реставрации была сильно ограничена. Такие зубы находятся в зоне повышенного риска, ведь без полноценной защиты они не выдержат жевательную нагрузку и могут повторно разрушиться. После осмотра и диагностики мной был составлен план лечения. Было принято решение о восстановлении з
Показать еще
- Класс
Восстановление зубов при дефиците кости по протоколу All-on-4. Сложный случай имплантации
А вы знали, что восстановление зубов при выраженной атрофии костной ткани — очень сложная, но решаемая задача в современной стоматологии благодаря имплантации. Даже в случаях, когда пациенты получают отказ в нескольких клиниках, есть методики, благодаря которым возможно вернуть полноценную улыбку. В моей практике хирурга–имплантолога было много сложных имплантаций, и одним из таких клинических случаев я хотел бы поделиться с вами. Это история пациентки, которая пришла ко мне без единого зуба и с минимальным объёмом костной ткани, а ушла через несколько дней с возможностью полноценно жевать на всех зубах. Пациентка обратилась к нам в MY ORT после консультаций в других клиниках, где ей не смогли предложить надежный вариант восстановления зубов из-за выраженного дефицита костной ткани в передних и боковых отделах верхней челюсти. На нижней челюсти у нее уже было установлено два имплантата для фиксации съемного протеза, но это практически никак не повлияло на качество жизни, а на верхней
Показать еще
- Класс
Полное восстановление зубного ряда без седации по методике ALL-on-4. Как это было?
В моей практике как врача-стоматолога, ортопеда, гнатолога, часто встречаются пациенты, которые годами мечтают о красивой улыбке, но не могут позволить себе лечение сразу. Кто-то боится операции, кто-то ждет подходящего момента. Но когда решение наконец принято, жизнь у таких пациентов меняется буквально за несколько дней. В этой истории я хочу рассказать о пациенте, который долгие годы откладывал восстановление зубного ряда, а когда решился на лечение, то получил не только новую красивую улыбку, но и помолодел на 15 лет. У пациента почти пять лет был мой номер телефона, и он знал, что всегда может ко мне обратиться, чтобы восстановить зубы. Но по финансовым причинам лечение приходилось постоянно откладывать. Все это время пациент постепенно копил средства, чтобы исполнить свою мечту — вернуть красивую улыбку и возможность полноценно жевать, так как это доставляло большой дискомфорт и не давало нормально жить. Когда он пришел на приём, мы провели комплексную диагностику, включая компью
Показать еще
- Класс
Две большие операции на десне: как мы подготовили пациента к ортодонтии.
Ко мне, как к пародонтологу, пациентка была направлена терапевтом: причина — выпала очередная пломба. Грамотный терапевт знает, что установка пломбы на оголенный корень — только усугубит проблему с рецессиями. И, несмотря на ранее проведённое лечение рецессий пломбами, пациентка отмечает, что состояние десны ухудшалось в течение последних 10 лет. Также она обеспокоена эстетикой улыбки, периодической чувствительностью и переживала за будущее своих зубов, боясь их потерять. Мы провели две большие операции (с интервалом чуть больше месяца) — сначала правая сторона, затем левая. Сейчас пациентка готовится к ортодонтическому лечению. Разберем подробнее, как это было. У пациентки — тонкая десна и кость, это то, что нам дано от природы, как цвет глаз или склонность к веснушкам, а прикус сформировался таким образом, что на некоторые зубы приходилось больше нагрузки, чем они способны выдержать, в результате десна «ушла», а зубы стирались, формировались трещинки и сколы эмали, особенно в самом у
Показать еще
- Класс
Белоснежная улыбка для пациентки. Как мы поставили виниры после ортодонтического лечения.
Виниры могут быть не только эстетическим решением для пациентов, желающих получить красивую улыбку, но и важной частью комплексного лечения, направленного на восстановление функции прикуса и эстетики улыбки. Об одном из таких клинических случаев расскажу вам я, врач-стоматолог, ортопед, в этой статье. Пациентка обратилась ко мне с жалобами на неудовлетворительную эстетику улыбки, выраженную рецессию десны, а также клиновидные дефекты зубов. Ранее пациентке уже проводилось лечение этих дефектов в другой клинике, однако повышенная чувствительность зубов сохранялась и доставляла ей дискомфорт. При осмотре у пациентки было обнаружено нарушение прикуса, которое напрямую влияло как на эстетику зубов, так и на распределение жевательной нагрузки. После моего осмотра пациентка была направлена на консультацию к ортодонту, и было принято решение о предварительном ортодонтическом лечении. В течение полутора лет пациентка носила брекет-систему для коррекции прикуса. Этот этап был крайне важен, так
Показать еще
- Класс
Пациентка с аллергией на металл: как мы провели ортодонтическое лечение без брекетов
Иногда в моей практике бывают пациенты с нарушением функции сустава, сложными патологиями и ограничениями, которые усложняют выбор методов лечения. Я, как лечащий врач-ортодонт, хочу рассказать вам о клиническом случае пациентки с дисфункцией сустава и скученностью зубов, у которой наблюдалась аллергия на металл, из-за чего брекеты ей были просто противопоказаны. Жалобы пациента Пациентка обратилась ко мне с выраженными болями в области височно-нижнечелюстного сустава. Она жаловалась на дискомфорт при жевании, болезненные ощущения при движении нижней челюстью и ощущение усталости мышц. Кроме этого, ее беспокоила скученность зубов и неэстетичное положение верхнего правого клыка. Улыбка пациентки до лечения -> Диагностика Я провела комплексную диагностику, включающую фотопротокол, цифровое сканирование, анализ КЛКТ и ТРГ. На этапе диагностики и подготовки к лечению выяснилось, что у пациентки есть выраженная аллергическая реакция на металл (никель), а это полностью исключает использован
Показать еще
Как мы исправили чужую ошибку и вернули радость жизни пациенту: сложный случай из практики
Иногда за словами «мне просто трудно жевать» скрывается целая история с нарушенной функцией сустава, тревогой перед каждым приёмом, усталостью и слезами от неудачных протезов, установленных в других клиниках. Я хочу рассказать вам о пациентке, чей путь к полноценной жизни без боли в суставе оказался очень непростым. Как мы исправляли ошибки других врачей и что из этого вышло. Жалобы пациента Ко мне обратилась пациентка полтора года назад с жалобой на боль в суставе. Она пришла ко мне как к гнатологу. На первый взгляд проблема выглядела как ортопедическая, но диагностика показала совершенно другую картину, требующую серьезного междисциплинарного подхода. История пациента. Почему она пришла к нам после другой клиники До обращения к нам у пациентки стояли две большие мостовидные конструкции, от клыка до клыка на обеих челюстях. Пластиковые временные мосты не обеспечивали жевательную функцию челюсти. Имплантаты стояли в боковых сегментах 1–4 и с 5–8 по секции, но в области 45-го зуба был о
Показать еще
загрузка
Показать ещёНапишите, что Вы ищете, и мы постараемся это найти!