
Фильтр
Дорогие пациенты, если визит к стоматологу откладывается «на потом» — вы не одни
Дорогие пациенты, если визит к стоматологу откладывается «на потом» — вы не одни 🙂↔️ Важно помнить: современная стоматология — это про комфортное и бережное лечение 🤍 Используются эффективные методы анестезии, которые помогают сделать приём максимально спокойным. 📌 Но главный риск — не в самом визите, а в откладывании. Небольшая проблема со временем может перерасти в сложное и дорогостоящее лечение 😞 Поэтому лучшее решение — записаться уже сейчас и пройти первичную консультацию ↓ Вы познакомитесь с клиникой, получите рекомендации и индивидуальный план лечения. Тем более сейчас консультация стоит всего 1500 ₽ — это небольшой шаг, который помогает сохранить здоровье зубов и избежать лишних затрат. 📨 Записаться можно по телефону: +7 8352 70 97 91 или напишите нам — подберём удобное время для вас.
Показать еще
- Класс
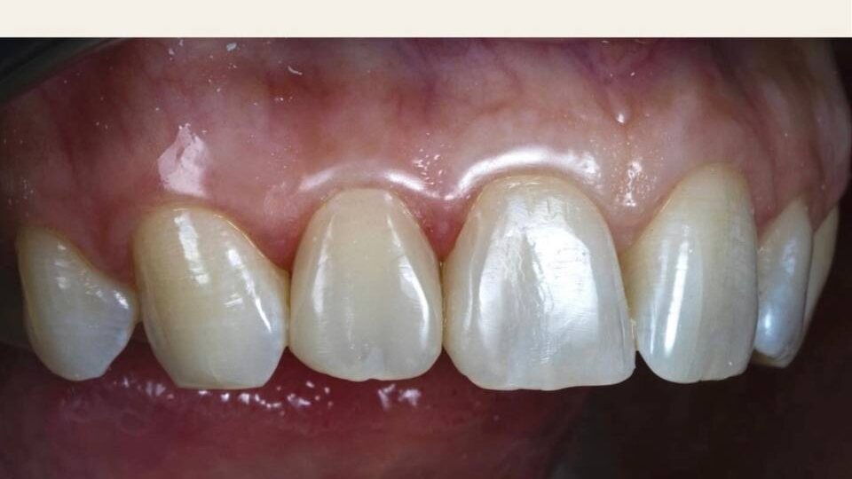
К нам обратился пациент с запросом: его не устраивал внешний вид зубов — неровности и трещины на эмали
К нам обратился пациент с запросом: его не устраивал внешний вид зубов — неровности и трещины на эмали. Мы предложили решение — композитную реставрацию ✨ Реставрация зубов — это процедура, которая позволяет: — Скорректировать цвет — Изменить форму зубов — Устранить небольшую кривизну — Восстановить утраченные ткани — Убрать сколы режущего края — Закрыть промежутки между зубами Результат: зубы выглядят более ровно и ухоженно 🙌🏻 И хотим сказать, всё делается за 1 визит — вы уходите с новой улыбкой уже в день обращения 🥰 Если вы тоже хотите улучшить внешний вид зубов — композитная реставрация может стать быстрым решением без сложных вмешательств. Приходите на консультацию — подберём оптимальный вариант именно для вас 💌
Показать еще
- Класс
То, чего вы не видите на приёме — самое важное
То, чего вы не видите на приёме — самое важное 🙂↕️ Стерильность — это не просто стандарт. Это то, от чего напрямую зависит ваша безопасность! После каждого пациента инструменты проходят полный цикл обработки: 1️⃣ Сначала — дезинфекция. Инструменты помещаются в специальный раствор, который нейтрализует микроорганизмы и снижает риск передачи инфекций. 2️⃣ Далее — предстерилизационная очистка. Удаляются даже микроскопические остатки биоматериала — то, что невозможно увидеть, но критически важно убрать. 3️⃣ Следующий этап — герметичная упаковка. Каждый инструмент запечатывается в индивидуальный крафт-пакет, чтобы сохранить стерильность до момента использования. 4️⃣ И финальный этап — стерилизация в медицинском автоклаве. Оборудование обрабатывает инструменты паром под высоким давлением и температурой до 134°C, полностью уничтожая бактерии, вирусы и споры. Это значит одно — риск заражения исключён 💯 Пакет вскрывается при вас. Вы точно знаете, что инструмент стерилен именно в
Показать еще
- Класс
Многие думают, что чистки зубов утром и вечером достаточно
Многие думают, что чистки зубов утром и вечером достаточно 🙂↕️ Но даже при хорошем домашнем уходе со временем может появится то, что невозможно убрать обычной щёткой: — Плотный зубной налёт — Пигментация от кофе, чая и еды — Зубной камень под десной Именно это со временем приводит к проблемам: кариесу, воспалению дёсен и неприятному запаху изо рта 🫢 Регулярная профгигиена — это не «по желанию», а основа здоровья зубов. 🪥Рекомендуем делать 1 раз в 6 месяцев. Запись на процедуру: 📞 +7 8352 70 97 91 • Чебоксары, ул. Радужная, 5 • Чебоксары, ул. Богдана Хмельницкого, 51
Показать еще
- Класс
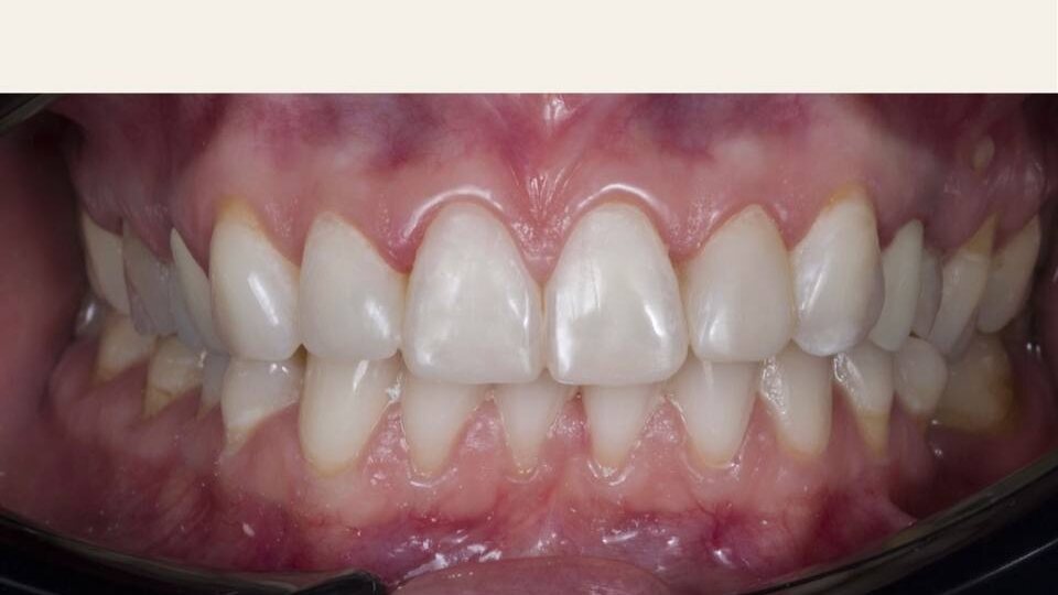
Если у вас потемневшие зубы, сколы или неровный край — это можно аккуратно и естественно исправить
Если у вас потемневшие зубы, сколы или неровный край — это можно аккуратно и естественно исправить 🙌🏻 Посмотрите, как мы решили эту задачу в данном случае ⤴️ Разница заметна сразу: улыбка стала светлее, ровнее и более ухоженной. Сначала провели отбеливание — осветлили эмаль и выровняли оттенок. Затем выполнили композитную реставрацию — восстановили режущий край и скорректировали форму зубов. В результате — гармоничная, естественная улыбка без эффекта «искусственности» Если вы давно думаете о коррекции улыбки — сейчас самое время начать 🤍 Записаться на консультацию: +7 8352 70 97 91 📞 • Чебоксары, ул. Радужная, 5 • Чебоксары, ул. Богдана Хмельницкого, 51
Показать еще
- Класс
Каждый в нашей команде искренне любит свою работу
Каждый в нашей команде искренне любит свою работу 🤍 Для нас важно, чтобы пациенты чувствовали спокойствие и уверенность на каждом этапе лечения. Мы внимательно подходим к каждой работе, уделяем внимание деталям и стремимся к максимально качественному результату 🙏🏻 В своей практике используем современные методы и постоянно совершенствуем профессиональные навыки, чтобы наши пациенты получали высокий уровень стоматологической помощи. Ваше здоровье и комфорт — наш главный приоритет 🦷
Показать еще
- Класс
Часто болит голова или мучают мигрени
Часто болит голова или мучают мигрени? 😔 Иногда причина может быть там, где её совсем не ищут — в неправильном прикусе. 👉🏻Когда челюсть находится в неправильном положении, жевательные мышцы постоянно напряжены. Это напряжение может отдавать в виски, шею и даже провоцировать головные боли и мигрени 🤕 А вы знали, что прикус может влиять на это? Записаться на консультацию: +7 8352 70 97 91 📞 • Чебоксары, ул. Радужная, 5 • Чебоксары, ул. Богдана Хмельницкого, 51
Показать еще
- Класс
загрузка
Показать ещёНапишите, что Вы ищете, и мы постараемся это найти!
Левая колонка
О группе
❤️Стоматология, которая любит
💪Специалисты высокого уровня
🔌Европейские оборудование и цифровые технологии
Лиц № Л041-01191-21/00335909
📞+7(8352)70-97-91
Адреса:
Чебоксары, Радужная, 5
Чебоксары, Хмельницкого, 51
Показать еще
Скрыть информацию

