
Фильтр
Ранний ублитуксимаб – гарантия успешной борьбы с рассеянным склерозом
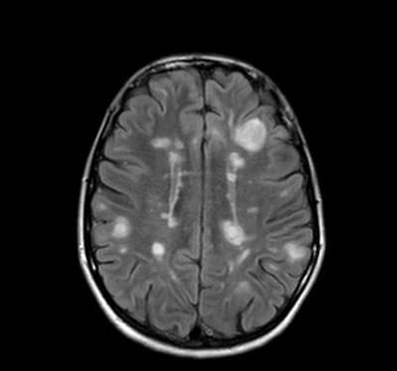
В исследовании, опубликованном в JAMA Neurology, представили результаты пятилетнего наблюдения за пациентами с рассеянным склерозом, получающими терапию в виде ублитуксимаба – моноклонального антителанового поколения, нацеленного на B-клетки. Оказалось, что непрерывное лечение ублитуксимабом в течение пяти лет приводит к практически полному подавлению обострений и значительно снижает риск большей инвалидизации. Credit: public domain Рассеянный склероз – заболевание центральной нервной системы (ЦНС), при котором собственная иммунная система пациента атакует зрелые олигодендроциты (глиальные клетки, которые образуют миелиновую оболочку аксонов клеток ЦНС) и разрушает их. Раньше считалось, что B-клетки и Т-клетки играют ключевую роль в патогенезе рассеянного склероза. Также мы писали о роли олигодендроглии (состоящей из различных типов олигодендроцитов), которая может переходить в состояние, связанное с заболеванием. Для лечения рассеянного склероза на первых этапах часто применяют препа
Показать еще
Музыка делает пиво вкуснее
Если пиво кажется вам невкусным, то, может быть, вы просто пьёте его под неправильную музыку? Учёные из Брюссельского свободного университета доказали, что правильно подобранная музыка может сделать пиво вкуснее. Статья с результатами эксперимента опубликована в журнале Frontiers in Psychology еще 10 лет назад, в 2016 году, но мы решили поделиться этими результатами сейчас (напомним, что пиво — только совершеннолетним!). Пиво, которое предлагалось второй и третьей группе испытуемых. Иллюстрация взята из оригинальной статьи в журнале Frontiers in Psychology. Группа исследователей под руководством доктора Филипе Рейносо Карвальо (Felipe Reinoso Carvalho) наблюдала за тем, как влияли музыка вокруг и дизайн упаковки на удовольствие от напитка у 231 испытуемых. Совместно с британской рок-группой The Editors они создали сорт пива, вкус которого, благодаря сочетанию ноток цитруса, солода и шоколада, идеально сочетался с последним альбомом музыкантов. Процесс эксперимента. Нечасто снимки с ве
Показать еще
- Класс
Работа нейронов восстанавливается после криоконсервации
Ученые сообщают о прорыве в области криоконсервации: впервые удалось заморозить мозг мыши и восстановить его нейронную активность после размораживания. Исследование, опубликованное в PNAS, открывает путь к технологиям «криосна» – длительного сохранения организмов при сверхнизких температурах с последующим полноценным возвращением к жизни. Срезы тканей разных областей мозга, подвергшихся методу сверхбыстрого охлаждения. Alexander German et al. / PNAS 2026 Криоконсервация – это метод замораживания биологических объектов (клеток, тканей, органов) при сверхнизких температурах. Ученые уже давно умеют замораживать отдельные клетки мозга и даже тонкие срезы тканей. Однако главная проблема всегда заключалась в том, что при замерзании внутри клеток образуются кристаллы льда, которые разрушают структуру синаптических связей. До сих пор никому не удавалось добиться, чтобы после размораживания нейроны снова могли нормально передавать сигналы, поддерживать метаболизм и проявлять пластичность – осн
Показать еще
- Класс
Бактерии попадают в мозг через блуждающий нерв
В статье, опубликованной в журнале PLOS Biology, обнаружили, что живые бактерии могут напрямую перемещаться из кишечника в головной мозг, используя блуждающий нерв в качестве транспортного канала. Credit: Manoj Thapa, et al. / PLOS Biology 2026 Cвязь между желудочно-кишечным трактом и мозгом – одна из самых жарких и активно развивающихся нейронаучных тем в последнее десятилетие. Исследователи уже подтвердили, что состав микробиома кишечника влияет на развитие нейродегенеративных заболеваний, типа болезни Альцгеймера и Паркинсона, влияет на развитие тревожного расстройства. До нынешнего момента считалось, что бактерии кишечника взаимодействуют с мозгом не напрямую, а через метаболиты (нейромедиаторы вроде серотонина или дофамина, а также токсины, которые всасываются в кровоток и уже через кровь влияют на мозг), либо взаимодействуют с клетками иммунной системы, которые находятся в стенке кишечника. Доказательств прямой миграции живых микроорганизмов (бактерий) в центральную нервную систе
Показать еще
- Класс
Новый бесконтактный метод исследования сосудов способен «увидеть» работу глубоких артерий мозга
Впервые ученые смогли экспериментально доказать, что разработанный ими «зеленый фонарик» для сосудов — метод визуализирующей фотоплетизмографии (ВФПГ) — способен заглянуть глубоко в живые ткани и помочь в сложных медицинских случаях, в том числе при хирургических операциях. Метод регистрирует пульсовые изменения не только в поверхностных сосудах, но и в глубоких церебральных артериях. Результаты работы, поддержанные грантом Российского научного фонда, опубликованы в журнале Frontiers in Physiology. Эксперимент на мозге лабораторной крысы проводит Алексей Соколов, доктор медицинских наук, доцент, заведующий лабораторией экспериментальной фармакологии и терапии боли Института фармакологии им А.В. Вальдмана Санкт-Петербургского государственного медицинского университета имени И.П. Павлова. Источник: пресс служба ИАПУ ДВО РАН. Во время фотоплетизмографического исследования видеокамера улавливает малые изменения тона кожи, вызванные пульсацией крови. Метод представляет большой интерес для м
Показать еще
- Класс
Позитивный настрой усилил иммунный ответ
Международная группа ученых из Израиля и США провела настоящее клиническое исследование для подтверждения эффекта, подобного плацебо – если человек сознательно настраивается на позитив (используя метод биологической обратной связи), усиливается выработка антител после прививки. Секрет кроется в активации системы вознаграждения мозга. Исследование опубликовано в журнале Nature Medicine. Credit: Nitzan Lubianiker et al. / Nature Medicine 2026 Наверняка вам не раз говорили, что позитивный настрой и вера в выздоровление (знаменитый эффект плацебо) творят чудеса. Возможно, вы даже ощущали это на себе. Но что при этом происходит в мозге, долгое время оставалось загадкой. Ученые предположили, что ключевую роль здесь играет дофаминергическая система поощрения, а именно ее центр – вентральная область покрышки (ВОП). В двойном слепом рандомизированном исследовании приняли участие 85 здоровых добровольцев (средний возраст – 25 лет). Ученые разделили их на три группы и использовали функциональную
Показать еще
Век живых систем: почему будущее технологий определяется нейронауками
Сегодня на нашем портале – необычный жанр. Андрей Иващенко, соруководитель рабочей группы Нейронет НТИ в период 2015-2025 гг, председатель совета директоров ГК «ХимРар» в своей колонке решил рассказать о первых десяти годах «Нейронета» и о своем видении итогов этого десятилетия. Разработка Национальной Технологической Инициативы началась с поручения Президента России В. В. Путина по реализации послания Федеральному Собранию от 4 декабря 2014 года. Значительный вклад в её формирование внесли Дмитрий Песков (генеральный директор АНО «Платформа Национальной технологической инициативы»; специальный представитель Президента Российской Федерации по вопросам цифрового и технологического развития) и Андрей Ремович Белоусов (на тот момент Первый заместитель председателя правительства Российской Федерации). Замысел НТИ родился из простого наблюдения: отраслевые объединения, решая тактические задачи, системно не занимаются долгосрочным планированием. Я хорошо это знаю по фармацевтической отрасли.
Показать еще
- Класс
Почему у исследований аутизма бывают разные результаты?
Ученые Центра исследований интеллекта и когнитивного благополучия НИУ ВШЭ провели первый систематический анализ научных работ, посвященных особенностям восприятия эмоций по движениям при аутизме. Анализ показал, что различия между аутичными и неаутичными людьми во многом зависят от того, как именно устроен эксперимент и какие задачи предлагаются участникам. Результаты опубликованы в журнале Research in Autism. Распознавание эмоций — сложный процесс, критически важный для успешного социального взаимодействия. У людей с расстройствами аутистического спектра (РАС) он может быть затруднен из-за особенностей сенсорного, моторного и социального профиля. При этом если восприятие эмоций по лицу и голосу изучено относительно хорошо, то распознавание эмоций по движениям тела (по походке, наклону головы, позе или жестам) — значительно менее исследованная область. В одних работах авторы указывали на существенное снижение способности распознавать эмоции по движениям при РАС, в других отмечали, что
Показать еще
- Класс
День в истории мозга: Бернард Кац
115 лет назад в Лейпциге родился будущий великий британский физиолог сэр Бернард Кац. Некоторые современные исследователи называют Каца одним из величайших нейробиологов ХХ столетия.
Потрясающий экспериментатор сумел показать, что нейромедиаторы выбрасываются в синаптическую щель «квантами», порциями примерно по тысяче молекул.
Много позже Томас Зюдофф за исследование того, как эти кванты-везикулы транспортируются в нервных клетках, получит Нобелевскую премию. Получил свою «нобелевку» и Кац - в 1970 году.
О сегодняшнем имениннике читайте завтра в рубрике «История нейронаук в биографиях».
#деньвисториимозга
Показать еще
- Класс
Избыток глюкозы может помочь защитить головной мозг от вредных белковых скоплений
Ученые выяснили, что вещество, уровень которого повышается в крови при диабете, помогает белку-«защитнику» обезвреживать опасные скопления в мозге, связанные с болезнью Паркинсона. Другими словами, диабет, возможно, не ускоряет развитие этого заболевания, как считалось ранее, а потенциально может препятствовать ему. Полученные данные помогут лучше понять, как сахарный диабет влияет на скорость развития нейродегенеративных заболеваний, и разработать подходы к профилактике и лечению таких нарушений. Результаты исследования, поддержанного грантом Российского научного фонда (РНФ), опубликованы в журнале Archives of Biochemistry and Biophysics. Гликированный альфаВ-кристаллин предотвращает образование амилоидных агрегатов альфа-синуклеина Источник: Владимир Муронец / НИИ физико-химической биологии имени А.Н. Белозерского МГУ имени М.В. Ломоносова. Болезнь Паркинсона — распространенное нейродегенеративное заболевание, от которого страдает более 8,5 миллионов человек во всем мире. Хотя его пр
Показать еще
- Класс
загрузка
Показать ещёНапишите, что Вы ищете, и мы постараемся это найти!
Левая колонка
О группе
Материалы портала Neuronovosti.Ru, посвященному новостям нейронаук и нейротехнологий в самом широком смысле слова: от нейросетей до нейрохирургии.
Показать еще
Скрыть информацию

